当前牙缺失时,因其影响美观,大部分患者能够做到及时修复。而单颗后牙的缺失(不包括智齿的缺失)却未能引起人们足够的重视。这类患者通常只有在别的牙齿疼痛或缺牙过多引起咀嚼困难时才会就诊,而这时往往已错过修复的最佳时机和最佳条件。患者要付出更多的时间和代价来修复牙列缺损,因此,单颗后牙修复的及时性非常重要。

单颗后牙缺失不及时修复的危害
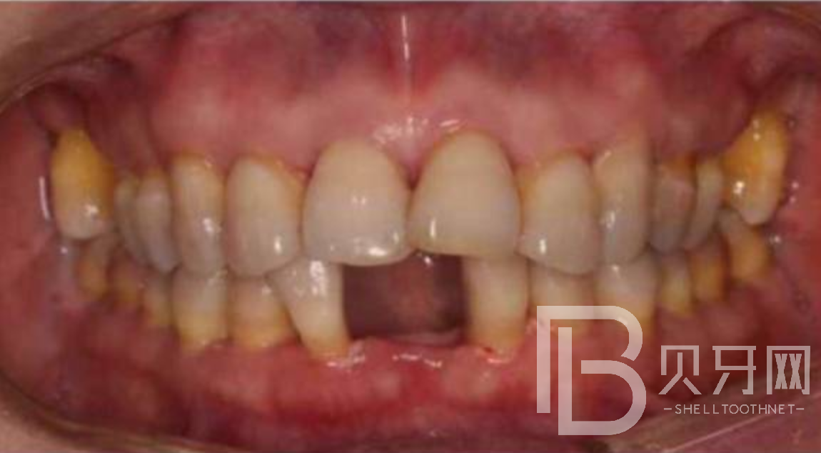
1、对牙列的影响
完整的牙弓是一个连续的整体,牙齿之间相互邻接,相互依靠。在咀嚼食物的过程中,力量分散在每颗牙齿上。每颗牙齿所承受的力量均在其范围之内。当第一磨牙缺失后,前后牙齿的牙冠均失去了接触,在不断的受力过程中,前后牙齿有可能向缺隙侧倾斜,缺牙间隙缩小,为日后的修复增加了难度。同时,对合牙失去了抵抗的力量,不断伸长占领间隙,造成合干扰。即使后期修复,改变了合曲线,影响咬合平衡。
2、对牙周的影响
如第一磨牙缺失导致邻牙倾斜,邻牙的远缺隙侧接触变松,患者会感到牙缝越来越大,经常出现食物嵌塞。清洁不当,容易造成牙龈炎症或邻面龋,影响牙周组织的健康。
3、对颞下颌关节的影响
当患者左侧第一磨牙缺失时,左侧后牙的咀嚼效率将受到很大的影响,患者自然而然选择右侧进行咀嚼,养成单侧咀嚼的坏习惯。长期的单侧咀嚼可能增加对侧牙菌斑和牙结石的聚集,同时,两侧颞下颌关节长期不均衡的运动,可能导致颞下颌关节疾病。
综上所述,一颗后牙的缺失长期不修复,将会造成非常严重的问题,引发一系列的不良反应。但是一颗后牙的缺失又总会被患者忽视,最终到医院就诊时使问题变得更加复杂。因此,缺牙后及时修复及定期的口腔检查非常必要。
以上是关于为什么单颗牙缺失要尽快修复?的相关介绍,想要了解更多医生,案例等内容,欢迎在线咨询客服哦。
编辑:guest
全口缺失牙齿对于我们的健康造成很大困扰,目前可以做全口种植牙来解决这一问题,全口种植牙是指做满口牙齿的种植牙,适合因各种原因导致的全口牙齿脱落患者,但做全口种植···[详细]
种植牙是牙齿修复的技术,只有正规专业的口腔医院才具备做种植牙的条件。种植牙的出现,让很多缺牙患者能够重新拥有一口好牙。不过有些人由于对种植牙认识不够,对于种植牙···[详细]
北京种植牙为什么比烤瓷牙贵?北京佳美口腔(金融街店)怎么样?
做种植牙为什么比烤瓷牙贵这么多呢?大家都知道,种植牙价格是比较高的,费用大概在8000-30000之间不等,和具体的种植牙方案有关。那么为什么做种植牙比烤瓷牙贵···[详细]
种植牙技术是目前口腔领域比较好的一种修复方式,随着种植牙在口腔界的影响,越来越多的人在进行牙齿修复时,都会把种植牙作为自己的优先选择。但很多人对于种植牙还是不甚···[详细]
北京哪种假牙便宜又实用?北京马泷齿科·康雅门诊(朝外SOHO店)怎么样?
对于老年人来说牙齿缺失是十分常见的问题,随着年龄变大的原因牙龈状况也逐渐变差,牙齿也开始不分先后的脱落,松弛。对于进食都会有比较大的影响,那么这个时候对于老年人···[详细]